One Man’s Story of His Battle With and Journey to Recover From Boerhaaves Syndrome
Mike Crinella aka Handsome: Husband, Roller Derby Coach, Son, Brother, Friend, Badass
Compiled with LOVE by his wife Kim Crinella aka kat-atomic
How it went down on 3/18/2013 from Kim’s perspective:
Mike was not feeling well while at work on 3/18/13 and ended up leaving work just after lunch because he felt so ill. He made the 19 mile drive home and barely made it in the front door and into the bathroom when he began throwing up. He threw up 4-5 times just fine then he felt that he had to throw up again but this time nothing came out and he felt a sharp pain in his back. He says it felt like he was stabbed. He was in excruciating pain and had trouble breathing. He tried laying down on the couch but he said he knew he needed medical attention immediately.
We only have cellular phones and he didn’t know if he could communicate his situation or address to a 911 operator so he called me, his wife, who was driving home after work. I usually don’t answer my phone while driving or even have the ringer on but for some reason I did on this day. Mike could barely speak and all he could get out was “Came home sick. Can’t breathe. Need ambulance.” I told him ok and that I loved him. I was frantic as I called 911. After I hung up with the 911 operator I called my friend and team mate Square Peg who is a nurse and who lives about 3 miles from us. She happened to be driving home and was about 2 miles from our house. She headed right over. Square Peg found Mike lying outside our next door neighbors condo on the sidewalk. She says Mike was gray in color and was breathing quickly and shallowly. She said she was afraid he would die right there. After Mike hung up with me he went outside to our neighbor’s house who is a retired nurse, banged on her door and collapsed. She found him lying there, called 911, and put a pillow under his head. Square Peg arrived shortly after that and then so did the ambulance.
Square Peg kept me posted with texts as I drove the longest 20 miles of my life to get home in traffic. When the ambulance left our place she went with him and kept me posted. I got off the freeway and started heading to the hospital. I beat the ambulance to the hospital by just a few minutes and was waiting in the emergency room area for him. Mike could not breathe. He was in excruciating pain and was breathing fast. In the emergency room they loaded him up on morphine. The morphine made him delusional but did not help with his pain or breathing. Our friends CB (who was a military medic) and other friend Cheeky came out to offer support. CB and Square Peg helped to keep Mike focused on taking slower fuller breaths. They also helped to keep me calm as I was a nervous frantic wreck. X-rays were taken and the nurse told me it was pneumonia and they were going to send Mike home that night. I could not believe it! He could barely breath and was in so much pain that he was ready to die. I was so grateful to have Square Peg, CB, and Cheeky there with me because they helped me deal with the medical staff and they told me “they can’t make you take him home tonight. You keep asking for another opinion. They should at least keep him overnight for observation.”
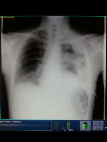
After 4 hours in the emergency room the doctor finally ordered a CT scan and they discovered it wasn’t pneumonia. His chest was full of fluid compressing one of his lungs more and more with every breath. They immediately popped him like a juice box and installed a chest drain to get the fluid out. Over a liter of fluid drained in the first hour. The doctors still didn’t know exactly what was wrong with Mike though. It was first diagnosed as pneumonia, then chest trauma due to roller derby before it was finally correctly diagnosed as Boerhaaves Syndrome.
Boerhaaves Syndrome is a rare illness which happens when someone is throwing up. The esophagus malfunctions and the top sphincter stays closed during vomiting when it should open to allow the vomit to come out the mouth. The pressure which happens during vomiting is so great that when the vomit was not allowed to come out the mouth it burst a hole in the left side of the esophagus near where it connects to the stomach. Mike’s hole was dime sized. The hole allowed all the stomach contents and bile into the chest cavity which compresses and damages the left lung and causes a massive deadly chest infection. It is the chest infection which kills 80% of the people this happens to. It is a rare condition and happens to only about 300 people worldwide each year killing all but 3. No one is predisposed to the condition. It is just a freak malfunction of the esophagus and can happen to anyone while they are vomiting.
Here is the rest of the story…

Dear family and friends. My husband, Mike aka Handsome, was rushed to the hospital yesterday because he was having trouble breathing. He ended up having pneumonia. One of his lungs was sagging and when I left at 1am they already drained 2.25 liters of fluid from his lung. I am getting ready to head back to the hospital. He will be in the hospital for a few days then will rest at home for a week or so. If you need me please text or call me.
For those of you who know Coach Handsome you know he is a badass and has a great sense of humor. The photo below shows both as he does his “Happy Surprise” even while he is laid up in hospital.
UPDATE ON HANDSOME/MIKE: Two docs just came by. One was a pulmonary specialist. They said it is not pneumonia. The fluid is outside the lung. They feel damage was caused by trauma to the chest, most likely roller derby related. They dont know what is causing the fluids. So far they have drained 3 liters from his chest. They are running a bunch of tests. He will probably be in hospital all week. He is heavily drugged for the pain. His breathing is better but he cant get a full breath. He is spending most of the day sleeping. He has been able to eat a little and drink water and his favorite pink Powerade. Thanks for all the well wishes, love and support. Handsome did get on fb today and saw all the messages. I will keep everyone updated. ![]()
March 19, 2013

Latest update on Handsome…when I showed up to the hospital this morning he was taking a walk with the nurse. That was great to see! They have been taking chest xrays every day and the fluid is finally clearing. The draining has significantly decreased. They did 2 ct scans yesterday evening. Doc said today now the feel he got food poisoning and tore a hole in his lower esophagus which leaked fluids causing inflammation and infection. They have him on antibiotics and pain meds that make him hallucinate. He cant have food or water, just iv. The ct scan shows no apparent hole so they feel it is healing on its own so no surgery at this time. He will be in hospital a few more days. They cant release him until no more fluids draining and his pain is under control.
An ironic side note I got food poisoning from some curry I had for lunch yesterday at the hospital. I was puking from 7-11:30pm and bad diarrhea from 7pm-5am. I hardly slept last night and am a zombie today. I didn’t even get to eat the spaghetti dinner Tori Doll brought me. Thank you everyone for the well wishes. I will keep you posted.
March 21, 2013
Today’s update on Handsome…the morning xray showed an unexpected increase in fluids on left lung
😦 They also found a mucus pocket thick like jelly. They put in another tube hoping to suck it out but it isn’t working. They will probably need to go in and clean out. Still wont let him eat or drink so he doesn’t leak anything through the tear in the esophagus. Doc thinks best case scenario he will be in hospital another week but it will be a long road to recovery. Handsome did get up and walk a little this morning. He sleeps a lot and is still having labored breathing due to the fluids around his left lung.
March 22, 2013

Good news finally. Docs say tests show no more leaking of the esophagus. He is still off food and liquids. They are planning a test on Monday and if still no sign of leak then he can start back on liquids and maybe food. He is still battling an infection outside the lungs from the leak. Thick jelly like mucus. The cultures have started coming back and they are running tests to determine best antibiotics to treat. They did update antibiotics he is on based on preliminary results. He is in pain due to chest tubes and can’t take a full breath but it was good news docs feel he is finally on path to recovery. Please keep posting well wishes and funny pics on Handsome’s fb page. He does check his page every day and the posts do lift his spirits. He will be in hospital for at least another week. Thanks eveyone for all the well wishes and love. It means a lot to both of us!!! ![]()
March 23, 2013

Todays update on Handsome/Mike is not what I was hoping it would be. Swallow test show tear in esophagus. He is scheduled for surgery tomorrow morning. They will be repairing esophagus and cleaning out the infection in his chest. Surgery should be done by 12-1pm. I will post update. He will be in hospital another 10-14 days then recovering at home for 2 months before he can resume his normal lifestyle. This is a very scary time for us. Looking forward to his recovery. I love this man with all my heart. So painful to see him like this ![]()
March 25, 2013

This is our coach Mike Crinella AKA Handsome. He currently is off skates due to a sudden serious illness that has kept him in the hospital and away from what he loves most; inspiring women to get out there on skates, embrace our inner badass and leave it all out on the track. We are sending him cards and visiting often but wanted to see if other teams would be willing to send some love to our little corner of the world. We are hoping to let him know how much he and others like him have inspired and touched the lives of so many by teaching us how to be a rockstar on skates.
Bennie, March 24, 2013
Mike Crinella, aka Coach Handsome, is more than just our coach to most of us on this team. He is our motivation when we have none, the ahole that pisses us of when we needed it, the guy that breaks into a giggle when he makes a joke when he’s telling us we all sucked at what we just did getting us all to laugh with him, that guru on skates we are all striving to be, the surrogate father-brother-husband-best friend to us when we are “crapping our mental pants”.
It is painfully clear we are not the same team, medics, officials, or women without them (Kim kat-atomic too) here.
So, non derby family, I am asking that you all send him well wishes and to repost this to show u care. Because if you know me he’s affected your life too. Sending well wishes on this link and sharing it will go along way to show him he has more reason to fight to get better.
Liking our page will go along way to show him that one man does make a difference.
Thanks coach, get better bc this excuse of “I can’t breathe” is getting old. ![]()
Kat Jobst, March 24, 2013

Handsome/Mike is in getting prepped for surgery which will begin any time now. It should be done between 12-1pm. The chest xray this morning looked much better. The antibiotics are finally working. Now need to fix the hole in the esophagus. Think happy thoughts for Handsome. I will let you know when surgery is over.
UPDATE: Mike is out of surgery. Doc says it went well. They found the hole and repaired it. He says it was sizable and would not have healed on its own so surgery was necessary. They have a tube down his throat which will have to stay in 5 days. Then they will do swallow test to see if repairs took and if there are leaks. Thank you to EVERYONE for all the love, support and well wishes. It means SO much to both of us. I am heading up to ICU to see him now. ♥♥♥♥
March 26, 2013

Handsome/Mike is looking good this morning. He was downgraded from critical and moved into another room in icu. He is getting stronger and breathing much better. He is expected to be in hospital another week then recovering at home for 2 months before he can get back on skates and back to work. Thank you so much for all the love and support an well wishes!!! It has helped us both get through this challenging time.
March 27, 2013

Handsome is having a good day. He is feeling better every day. Docs say he is still fighting an infection. They are changing his antibiotics today. He has a slight fever but otherwise feels good. We walked for 20 minutes, two laps around icu. His drains from surgery are still collecting discharge. Handsome is looking forward to the swallow test on Monday. He hasn’t eaten or drank anything in 8 days. He started making a list of foods he would like once he can eat and gets out of hospital. He loves all the messages people are posting for him. It makes his day!
March 28, 2013

The lack of sleep has caught up to Handsome today. He was a bit grumpy. But he did get up and walk 3 laps around icu unit this morning and we will do another 2-3 laps in about an hour. Docs said his xray looked good today. The infection is starting to clear and he did not have a fever today. He is REALLY looking forward to the swallow test on Monday. If it shows no leak in the esophagus then he will be cleared for liquids. He hadnt been able to eat or drink anything for 10 days now. He has been trying to not push the pain meds button since it makes him hallucinate and very drowsy. They have an epidural and also Fentanyl. Thats some heavy stuff. Thanks everyone for being so awesome as and supportive. We really appreciate it! ![]()
March 29, 2013

Handsome is doing good today. Yesterday was a tough day after a rough night of restless sleep and hallucinating all night. But last night he slept well. We went walking this morning and he did 6 laps around icu in 25 minutes. That is progress over yesterday’s walk. The photo is of him getting a foot bath after the walk. We are looking forward to the swallow test tomorrow morning. If it shows no leak he will be able to drink liquids. It has been 12 days since he ate or drank anything. Thanks for the continued well wishes, love and support. The get well cards have started to arrive and I bring them to him every day. The cards and facebook messages brighten his day a lot!
March 31, 2013

Mike and I would like to thank LallyGagHer Adrienne Lally and Attilio Leonardi of Team Lally Remax for doing a segment on their Saturday radio show about Handsome’s situation and bringing pubic awareness to the fundraiser to help with his recovery. Thank you Square Peg Sarah Klitzke , Cuttin’ Candy Celeste Gates, and Daisy Mae Shock Ya Robbie Peyton for calling in and sharing how Handsome has touched, impacted, and changed your lives. We listened to the podcast and it touched both of us deeply. Thank you Tori Doll Elisa Hershey for setting up and promoting the recovery fund. And THANK YOU SO VERY MUCH to all the wonderful people, derby leagues and businesses who have contributed all ready. It is difficult for us to ask for help and we are just so touched at the generosity and love people have responded with. ♥ Handsome & kat-atomic
March 31, 2019

Today Handsome/Mike had a swallow test and the Doc just came by with the results. It showed some leaking still. He said it needs more time to heal. They are keeping the nose tube in and continuing to feed him with iv. No eating or drinking until the esophagus heals. They will test him again maybe at the end of the week. This means he wont be getting out of the hospital at the end of this week like we hoped. This is not the news we were hoping for
😦 . Keep up the posts on his fb page to lift his spitits, he needs it.
April 1, 2013

Today started off not so great but took a turn for the better around noon. Handsome/Mike was feeling cruddy this morning from the swallow test failure yesterday. He just wants to eat! They weighed him this morning and he is down to 123 lbs. He’s lost 15 lbs from not eating for 2 weeks. They removed his epidural which left him in a bit of pain. We walked 5 laps around icu. Then he got a visit from a doc around noon and they removed the tube that went in his nose and down his esophagus. That made him feel so much better! It was causing him a lot of discomfort so he was so glad to be done with it. Still no eating or drinking though. They are getting his pain under control with Fentanyl. Just keeping on moving forward
🙂
April 2, 2013

Today was a good day. Handsome is still dealing with pain from the surgery site now that the epidural is gone but with the drainage tube removed that went in his nose and down his esophagus he is in much better spirits and has less discomfort. We did 6 laps today. The photo below is him enjoying some time in the sunlight looking out a large bay window towards the Ko’olau mountains. Our friend C.B. Timothy Carlberg stopped by and gave Handsome a haircut. Handsome said that it makes him feel really great to have his head shaved. We are so lucky to have such awesome friends! The surgeon came by with good news. If the xray tomorrow stays looking good they will be removing one of the two drainage tubes from surgery in his side. He said Handsome is progressing well. They will be doing another swallow test on Monday. Come on esophagus and heal up! Handsome is HUNGRY & wants to go home! He weighed in at 118 lbs today. He has lost 20 lbs so far. Going to fatten him up like a Thanksgiving turkey once he can eat again. Thanks everyone for the contined outpouring of love and support. It means SO MUCH to us both! Also to all you AWESOME amazing friends who have donated to the Handsome recovery fund…THANK YOU x 1, 000, 000! It is hard to ask for help and your generosity is greatly appreciated and will help with medical expeses and financial burdens caused by lack of income while Handsome is out of work for 2 months recovering once he is out from his one month stay in the hospital.
April 3, 2013
Today was another day moving in the positive direction towards recovery. They finally got Mike/Handsome’s pain management under control last night by putting him on a Fentanyl drip. He was able to get some sleep last night and was in a really good mood today. We went for a walk in the morning and he did 8 laps around icu in 35 minutes, which is his most laps so far. His fastest lap was 4 minutes…and ya we time them…we are derby people! Of course we have to time our laps.
This afternoon the doc came in and removed one of the two drainage chest tubes. They doped him up real good for the surgery and the photo below is him giving two thumbs up after the successful removal. He said he can take a much fuller breath now with the tube out. The topical medicine started to wear off right before I went home and he was in a bit of pain in the tube area from the surgery. Just so grateful he is on the road to recovery!!
Thanks for continued posts and fb messages to Handsome encouraging him and wishing him well. It really cheers him up to read them every day
❤
Challenges which remain: one more chest tube, a swallow test, and being able to eat and drink. Just keep moving forward babe!
April 4, 2013

Wishing you a speed recovery!
❤ Love, California’s one and only Mendo Mayhem Roller Derby
April 4, 2013

FoCo roller derby league in Colorado with our friend Stacey Kloxin aka Ginger Baked sent Handsome well wishes and a Happy Surprise photo to brighten his day…which it did! It put a big smile on his face! Thanks ladies!!
April 5, 2013

After an active day Handsome/Mike is getting some rest. He walked 10 laps around icu this morning in 41 minutes with a new record lap time of a 3 minute lap! His side where he had surgery yesterday is very sore and giving him some discomfort but he is dealing well with the pain. He spent most of the day sitting in a chair rather than laying in bed. We then went for a 15 walk again in the afternoon and bumped into his former boss Sandy. Mike was happy to see her. He can’t go anywhere without seeing someone he knows.
The doc came in and said the swallow test will be on Monday at 9am. The results all determine if he spends another week in hospital or get to eat and go home next week. Doc told him to keep up the walking and doing his breathing exercises to increase blood flow and promote healing of the esophagus.
Still getting stronger every day. Sleep well my sweet amazing love ♥
April 5, 2013

Today Handsome/Mike walked 9 laps around icu with his fastest lap at 2 min 54 sec, his fastest so far! After our laps we went on a walk about and went outside. Handsome said it felt really good to feel the sun on his face and breath fresh air
They took the bandage off his side and back today revealing a scar 12 inches long from the middle of his left side to his spine from when they did the surgery to repair the esophagus. Holy moley!
Handsome has been loving the posts if Happy Surprise photos, well wishes and the cards he has been recieving. Thank you all so much for all the love and support. It has been so helpful through this scary time. Thanks to the very generous gifts to Handsome’s recovery fund. We are almost a third of the way to our goal. So very touched by having so many amazing people in our life ♥
April 6, 2013

Today has been a rough day for Handsome/Mike. He has been in a lot of pain today. He struggled doing his laps today. He did 3 slow laps this morning and 3 more this afternoon. The photo today is of the 12 inch scar from his left side to his spine from when they did the surgery on his esophagus. The brown stuff is antibiotics which will eventually wash off, the scar is in the middle. Doc says they took a centimeter off one of his ribs in his back during the surgery. We were told today it will not effect his derby play once he is fully recovered. They also cut through his lat and dorsal muscles which is what is giving so much pain. He has diffaculty lifting his left arm. Doc says he will need physical therapy to restore his range of motion during his recovery. He doesn’t like taking lots of the Fentanyl pain med because it makes him hallucinate and twitch. He is trying to find a balance with his pain management. The swallow test is tomorrow morning but we wont get the results until the late afternoon. REALLY hoping it shows the esophagus is healed and no leaks. Keep up your positive thoughts, well wishes and awesome love for Handsome going! ♥
April 7, 2013

Handsome/Mike is heading to get the swallow test now. We wont get the results until about 3-4pm. If they show no leak he will be cleared to start drinking liquids tonight and he will hopefully be released from the hospital by the weekend. If the test shows leaking then he will remain in hospital at least another 2 weeks. Come on NO LEAKS!
UPDATE: Test results are back, his esophagus is still leaking. The doc feels Handsome is not getting enough nutrition through the iv so his body is not able to heal. They are going to put a feeding tube direct into his stomach to increase his calories. He will be expected to have the feeding tube for the next month. This means he wont be able to eat or drink for another month either. This will also add at least another month to his recovery. Doc is saying it is realistic to expect it to take 6 months for him to fully recover providing there are no unexpected set backs. This is not what we were expecting or wanted to hear.
April 8, 2013

They just took Handsome/Mike into surgery to install the feeding tube into his stomach and intestine.
April 9, 2013
My husband, roller derby coach, and best friend Handsome/Mike was hospitalized on 3/18 when he suffered a catastrophic unexpected illness called Boerhaaves Syndrome. His esophagus burst allowing his stomach contents to enter his chest cavity which caused a serious infection, compressed his left lung, and nearly killed him. Since he has been in the hospital he has had 2 chest tubes installed to drain the fluid and infection in his chest. He also had a major surgery to repair the esophagus. It has been 2 weeks since the surgery and the esophagus has not yet healed. It is a unusual muscle that doesn’t heal quickly. They have been feeding Handsome only by IV. He has not been able to eat or drink anything since 3/20. He weighed 142 lbs going into the hospital and is down to 118 lbs. The doctors feel he is not getting enough nutrition through the IV to allow his body to heal so they are installing an feeding tube through his stomach into his intestine today. They expect the feeding tube to stay in for a month which means no eating or drinking for another month. He is expected to be in hospital for another 2-4 weeks. Doctors expect him to fully recover eventually but it is going to be about 6 months until he fully recovers to his former healthy self.
When they did the major surgery to repair his esophagus they took out a centimeter of bone from one of his back ribs and cut through his lat and dorsal muscles to get in there. They also installed chest tubes in his left side. These have been causing him a lot of pain and discomfort. They have him on Fentanyl for pain management. Once his esophagus is healed he will need to endure months of physical therapy to help him restore his lungs and muscles which were damaged with this illness.
Handsome/Mike has been trying trying to keep a positive attitude. He is known by all who know him to have a grasshopper mentality and keep moving forward (grasshoppers can only move forward, they can not move backwards). Handsome has trained and inspired nearly a thousand skaters in his derby career and had a positive impact on many more people’s life. Our roller derby league Aloha City Rollers has created a fund to help Handsome during his recovery. He will be out of work for 3-5 months due to this illness and the fund will help with medical and living expenses. Thank you so much to everyone who has already supported us, your donations are greatly appreciated. ![]()
April 9, 2013

Yesterday was a tough day for Mike/Handsome. He had surgery to put a feeding tube into his stomach and intestine. They doped him up really good and it took most of the day to come off of it. It made him feel crappy and he got a fever. By 6:30pm he started feeling better and we walked a few laps around icu. This morning they are going to start him off with some water through the feeding tubes and if that goes well they will start with food through the tube. We both appreciate everyone’s support and well wishes. The love and generosity we have been receiving is amazing and has touched us deeply
❤
April 10, 2013

Mike/Handsome and I are so deeply touched and sincerely appreciate the generosity of strangers, family, friends and roller derby community for their donations to the Handsome recovery fund. We are neary half way to our goal! It is going to take many months for Handsome to recover from this catastrophic illness and the generous donations will help with medical and living expenses while he is out of work. Handsome went into the hospital on 3/18 and is expected to remain in hospital another 2-4 weeks. He will then recover at home several months while he continues to heal his esophagus and does physical therapy for his lungs and muscles which were also damaged.
Handsome is a very generous caring husband, friend, and roller derby coach. If you can help him now in his time of need any size donations is greatly appreciated. ♥
April 11, 2013

Sorry for the late update on Handsome. My stupid phone had trouble last night and wasn’t communicating with Facebook. Handsome had a painful day again yesterday. The chest tube causes him a lot of pain and discomfort. He did get 24 hours of feeding through his stomach tube. They had to stop the feeding at about 9am though because his blood test for the day showed elevated liver enzymes and the doc ordered a ultrasound of his liver and he couldn’t consume any food until after the ultrasound was done. They finally hooked him back up to his nutrients at 5pm. We will find out more about the liver ultrasound today but it is probably just elevated due to the meds.
Just want to say thank you to everyone for sending cards, posting well wishes and photos on Facebook, sending private messages to Handsome on Facebook, visiting him, and making donations to his recovery fund. All these things have really helped to lift his spirits. Although he is a very positive person this shit can really get you down and he gets kinda grumpy. But then he will look at the cards he has received or at a facebook well wishes posts or messages or look at a photo of a “happy surprise” someone posted for him or team photos wishing him a speedy recovery and it really picks him up and makes him smile. I love this man with all my heart and I thank you all for loving him too and helping us both get through this very scary experience. For his friends in Hawaii if you want to visit him he would love to see you. Just text me or send me a facebook message and I will send you info on visiting him
❤
April 12, 2013

Another day of Handsome/Mike trying to deal with the pain from his chest drainage tube. They switched him from a Fentanyl drip to a dose of oxycodone every 3-4 hours. They also increased the amount of nutrients going into his feeding tube. He has put on 1lb already. We walked a few laps around icu two separate times today. His laps are slow and leisurely as movement really makes his chest tube hurt but he endures it because he needs the exercise. The photo today is him in front of a wall of cards, photos, and gifts he has received. When he is feeling down he looks at them and they make him smile!
April 12, 2013

Handsome/Mike had a rough night of pain with his chest drainage tube. They switched his pain meds yesterday and I don’t think they found the right dosage yet. But they are talking about possibly backing out part of the tube on Monday so hopefully that may help with what is causing the pain. What happened to Handsome is really rare so the docs are documenting his experience and how they are treating him. Today’s photo is of him getting his chest tube dressing changed. Still smiling! Although in pain he is moving in the direction of recovery every day. Hope to have him stable enough to start recovering at home soon. It is still a very long road to full recovery. Thank you so very much to all the amazing people who have contributed to the Handsome recovery fund so far. He will be out of work at least through June or July and the money will help so much with medical and living expenses while he recovers. Any size donation is helpful and deeply appreciated.
April 13, 2013

Played some derby today. Was a little nervous about bouting since I have not been to practices since Handsome ended up in the hospital. I had a blast and it was a really good stress relief. I really love my league and have missed skating with them. We dedicated the bout to Handsome. They did a can/bottle drive to raise $ for the Handsome recovery fund. Elisa Hershey aka Tori Doll made these awesome hemet sticker ribbons in honor of Handsome in ACR colors and sold them for $1 each for the Handsome fund. Everyone is just so thoughtful and loving. LOVE my ACR family. Can’t wait to give Handsome the special surprise they made for him
🙂
April 13, 2013

Handsome/Mike had lots of visitors today. He was happy to hear about the bout yesterday and look at photos from the game. We did some laps around icu then went for a walk down to the main lobby so he could get some fresh air. Then he started to feel a lot of pain in his chest tube area. When we got back to his room he got his pain meds it knocked him out. I hope the get his pain under control soon. I hate seeing him in so much pain
😦
April 14, 2013

Handsome/Mike had a ct scan today to check for infection pockets. They didn’t find any new pockets, just the area that they already have the drainage in for. YAY! They clamped the drainage tube and tomorrow they are going to start backing out the chest drainage tube. The goal is to get most of it out and then attach a portable drain he can go home with. Still having pain management issues. His liver enzymes have come down a little but it has not yet returned to normal. But doc says his white blood cell count is normal so that is good. The photo today is Handsome reading some of the get well cards. The cards and Facebook posts really help to lift his spirits.
April 15, 2013

I have a hear shaped rink rash on my calve from the bout this past weekend. It is my temporary tattoo dedicated to Handsome ♥
April 16, 2013
Today has been a really rough day on Handsome/Mike. During the night his chest drainage tube got caught on the side table and caused him to yank on it and EXCRUCIATING pain. He has been in pain all day. He did get visits from several friends which brightened his day. But at 1:30pm the doc came in and cut his chest drainage tube down and pulled it out an inch and that was EXTREMELY painful for Handsome. It is so hard to see him in so much pain. But unfortunately pain is going to be involved in the healing process. He is moving in the direction of recovery. It is just going to be a long road, sometimes with painful bumps.
April 16, 2013

It has been 4 weeks and 3 days since Handsome/Mike was rushed to the hospital and 4 weeks since he was told he can not eat or drink anything. The day the ambulance brought him in was his worst day for pain hands down, but the last 2 days have been extremely painfilled for him. Part of the healing process is they have cut the chest drainage tube and are backing it out an inch each day. This started yesterday. The tube goes between his ribs and Handsome said it is putting constant pressure pushing the ribs apart. He said it feels similar to when you break a rib but worse. It is excruciating for him to move around because it moves the tube. Today when they were backing out the tube I had to leave the room. It broke my heart to hear him crying out in pain and I started crying. He will have to endure this process each day for several more days. Hopefully then the pain will not be so intense. The goal is to back the majority of the tube out then attach a portable drain which he will have until his esophagus is healed. The photo today was taken after the procedure was done today. He is such a badass!
April 17, 2013
I am happy to have better news to share today. Handsome/Mike had a much less painfilled day today. He got out and did 5 laps this morning then napped for 4 hours. This afternoon when they moved the chest tube out another inch he said it was not as excruciating as the prior two days. He will have one final move out tomorrow then they will sew the remaining tube in place and attach a portable drain. His daily xrays have shown some fluid gathering on the right side of the chest now. So the doc did a procedure where they went in through his back with a needle and a suction thingy and drained it. They will test the fluid but he said it didn’t look to be an infection, just normal body fluid. The photo today is him after the procedure with the fluid that was removed. We are heading out to do some more walking right now.
April 18, 2013

Another good day for Handsome/Mike. Initial tests of the fluid removed from his chest yesterday do not show infection. Neither does his blood or urine. But he has been running temperatures of 99-103 degrees every day. Docs are trying to figure out what is causing the fevers. It could be related to the trauma from the chest drain but they need to make sure it is not any kind of infection. Today they did the final move out of the drain. They sewed it to his skin and it will remain until he is 100% healed. They have increased the volume of food going in the feeding tube. He is on the feeder 16 hours and off 8 hours. This will give him a little more freedom once he goes home with it. Docs are planning a swallow test on Monday to see how much the esophagus has healed. They are considering doing a surgery to put in a stint to help speed up the healing process. We will find out more on Monday. He has been in really good spirits. He is smiling and being a wise ass. The nurses all love him and treat him really well. I am so happy he has kept a positive attitude and stays focused on getting better. Todays photo he is showing off his feeding tube when he was getting the bandage changed. He wont let me call the nutrients they feed him food. It looks like melted ice cream ![]()
April 19, 2013

This is one of my favorite photos of me and Sunny. We took it to cheer Mike up. I
❤ her smile
😀
April 20, 2013

Another day of progress with Handsome/Mike. He is feeling good but still has a fever of 99-103. They have run tests on his blood, urine, poop and fluids and say it is all clean and no signs of infection. We did 15 of his 20 lap goal around icu so far today. Each lap is approx 500 feet. He gets very tired from doing the laps and usually zonks out as soon as we get done.
Today our former league, Pacific Roller Derby, held an open scrimmage and when they found out about Handsome’s situation they turned it into a fundraiser for the Handsome recovery fund. Handsome and I are both very touched by their generosity and support. We were hoping he would be out of the hospital by now starting his recovery and are disappointed we could not attend. We are so proud of the ACR league members who attended and represented. We thank PRD for all the hard work that went into putting on the scrimmage and for being so awesome to dedicate it to Handsome.
April 20, 2013

Having a crappy day
😦
Handsome/Mike is not in a great mood today. He has barely said 20 words to me all day. He has spent most of the day so far sleeping. He seems frustrated and down about his situation today. Docs are still trying to figure out why he has a fever all the time. They are hearing something in his lungs so they a sent him to get a ct scan today to check for blood clots in the lungs and chest infection. They will be doing a cardio-something test tomorrow to make sure no clot in the heart valves. They found his blood levels were low and have been giving him a transfusion all day. He will be getting 3 units of blood total. Still running a fever of 101. Today the situation is taking its toll on both of us. Tomorrow is a new day and I am hoping it will be a better day with more positive news.
April 21, 2013

Getting an echo cardiogram.
April 22, 2013

Handsome got a t-shirt signed by the members of Man’s Ruin Roller Derby and and a koozie too! It really brightened his day and put a big ol smile on his face. THANK YOU! You guys are AWESOME! We are both so deeply touched by how thoughtful, supportive, loving and generous the derby community has been to us. Roller derby is the 2nd best thing that ever happened in my life (Handsome is the 1st) and I am so grateful to be associated with and part of such badass amazing people. Derby love rules!
April 22, 2013

Today is a better day for Handsome/Mike. He is in better spirits and is more cheery. He still has low energy despite the blood transfusion. He says he thinks they gave him lazy blood
🙂
Doc says the ct scan on Sunday did not show any blood clots in his lungs or any new infection pockets. The echocardiogram yesterday showed his heart is strong and pumping well. No blood clots there either. The swallow test did show the surgery site is still leaking but is much less than before so it IS healing. We are waiting to hear when they will be installing a stint. It will help the esophagus to heal faster and he will be able to eat and drink with it. If he gets it this week he may be able to go home next week. We are on day 37 of this hospital adventure and I am looking forward to his recovery and his coming home. ♥
April 23, 2013

Another good day for Handsome/Mike. His temp remained in the normal range all day and his pain was low. We got word from the docs they have tentatively scheduled surgery to install the stint in his esophagus on Friday. They are waiting for the stint and some equipment to come in from the Mainland so surgery is contingent on that stuff arriving. If surgery happens Friday there is a really good chance he will be going home next week some time. Moving forward towards recovery, yay! Keep those positive thoughts and happy posts coming
🙂
April 24, 2013

All the equipment came in from the Mainland this afternoon so Handsome’s stint surgery is a go for tomorrow, Friday. No set time, it will be when the anastasiologist is available. It should take about an hour. He should be able to drink fluids with the stint. Yay! But no solid food as it may dislodge the stint. It will stay in for about a month, until the esophagus is fully healed, then it will be removed. Handsome will continue to get his nutrition through the feeding tube until the esophagus is healed. The nurse trained me today on how to hook up the feeding tube water and nutrients and how to administer medicine through the feeding tube. They advanced out the chest tube a little more today. It is looking really promising he will be going home sometime next week. No date has been set, it will depend on how he progresses the next few days. Big kat smile
🙂 and a happy surprise!
April 25, 2013

Handsome/Mike is heading off to surgery now. Going to be putting in a stint in his esophagus to protect the surgery site and help it heal faster. ♥
April 26, 2013

Handsome just returned from surgery and is resting comfortably ![]()
April 26, 2013

Just got word Handsome can now have clear liquids! This is his first drink since March 20.
April 26, 2013

Handsome is doing GREAT! The stint surgery went well yesterday. He was up and walking laps yesterday evening and was able to drink clear liquids. He has been able to tolerate the clear liquids so he has been cleared for full liquids today which include cream of wheat, chocolate milk, pudding, sherbet and ice cream! It makes me so happy to watch him eat and drink. He wont be able to eat solid food as it may dislodge the stint, but the stuff he can have now is way better than nothing. ![]()
April 27, 2013

One step forward and two steps back. Handsome/Mike started again with low grade fever last night. He got downgraded to clear liquids. Doc now saying it is ambitious to expect Handsome to get discharged this week. Need to still get his meds, food, and fevers under control. Seems more likely next week. Disappointed but staying focused on the end game. He IS getting better and we are getting closer to his coming home. Today is day 42.
April 28, 2013

As the day progresses more challenges have arisen. Results from swallow test yesterday show there is still a small leak despite the stint. They feel the liquids Handsome/Mike have been consuming since the surgery Friday are leaking into his chest causing an infection causing the fever. They have now taken him off all liquids consumption. The docs will all be meeting tomorrow to discuss repositioning the stint or if a bigger stint is needed. Either way more surgery is in his future. Going home this week is definitely out. We are both bummed.
April 28, 2013

Handsome/Mike just headed back into surgery to reposition the stint. Hoping the 2nd time is a charm.
April 29, 2013

We got bad news today that the hole in Handsome/Mike’s esophagus has reopened. The very bad infection he had in his chest either dissolved the stitches or damaged the muscle around the repair so badly it caused the site to reopen. There is a half inch hole in the esophagus. The stint they put in on Friday slipped down. It is believed the stint was dislodged by the liquids Handsome was allowed to drink on Friday and Saturday. They removed the stint yesterday. They have ordered him a wider stint which they hope will have more traction in the esophagus and they expect to arrive on Wednesday morning. They will be doing surgery to install the wider stint on Wednesday afternoon. It will remain in, providing it does not slip, until the hole is healed. That could take weeks or months. They will not be allowing him to eat or drink until the esophagus is fully healed to hopefully prevent dislodging the stint. The stint will act like a protective shield to the hole to keep saliva from entering it and allowing it to heal. If this does not work they have a plan B but it is a new medical procedure they are researching. The doctors are trying to avoid doing another major surgery to go in and sew up the hole as it will cause extremely harmful trauma to his body. The invasive surgery will be a last resort after all less traumatic options have been exhausted. The extensive infection in the chest cavity and around his lungs caused by the Boerhaaves Syndrome is what makes this illness so deadly (35% mortality rate) and makes it so complicated to treat. This illness is very rare and affects less than 300 people worldwide each year.
Please refrain from offering us medical advise. I am sharing a lot but not everything and I trust the doctors over any advise Joe Anybody on FB has to offer. We do however appreciate your support and love. The amazing love and outpouring of support we have received through this ordeal has helped us get through this challenging time so far. Thank you all so very much.
I have no idea when Handsome will be getting out of the hospital. Every time we are hopeful the time is near something happens to change things. I am now just taking things day by day as things can change hour to hour. I am grateful Handsome is alive and did not become one of the negative statistics. Every day I am so happy to have him to hug and smooch. He is my best friend and soul mate and I don’t know how I could get along without him. We have been together for nearly 25 years and will be celebrating our 24th wedding anniversary on June 3. We met in August of 1988 and have not gone a day since without being together since we met. I have always treasured every day with him and the last 44 days I have treasured them oh so much more.
Thank you to everyone who has sent him cards and gifts. They put smiles on his face every time he looks at them. Thank you to all the generous people, some who don’t even know us, who have donated to the Handsome recovery fund. Thank you all for loving him and appreciating what an amazing person he is. The world is a better place because he is in it. I know my life is
❤
April 30, 2013

Yesterday Handsome/Mike had a new stint put in to protect hole in his esophagus. This one was wider than the previous one. Hopefully it will have better traction and will stay in place which will allow the hole to heal. They are not letting him drink or eat while the stint is in so it wont get dislodged. Handsome is feeling good today. His color looks good, he isn’t running a fever and he says he is feeling good. He is in good spirits. Just taking things one day at a time. Glad today is a good day.
May 2, 2013

May the 4th be with you! Handsome/Mike had another good day yesterday. No fever and so far so good on the new stint. They are starting to transition his pain meds to ones taken through his feeding tube rather than intravenously. Hw had a rough night because of it. Hopefully he will be able to get some sleep this afternoon while I am at the bout. Docs are waiting to see how the stint does over the weekend. If it holds ok then over the next week they will be transitioning his antibiotics and feeding to get him ready to go home. Still taking it day by day as things can and have changed unexpectedly. Hope you all have a stellar day and May the forth be with you…always!
May 4, 2013

It has been 49 days since Handsome’s/Mike’s esophagus burst landing him the hospital and nearly killing him. I am happy to report that he seems to be getting stronger and has more energy since he had the latest stint put in on this past Wednesday. Since Friday he has been walking almost 2 miles a day. Today he walked up and down a flight of stairs for the first time in 49 days and was able to do so with no problem. We took a walk outside and he enjoyed feeling the misty rain on his face and breathing in the moist fresh air. It reminded me how easy it is to take for granted such simple things. Still taking things day by day but really grateful for such progress and good days. ♥
May 5, 2013

Bad news and good news to report today, day 50 of Handsome’s/Mike’s hospital adventure. He had a ct scan today and it showed the new stint has slipped. The good new is it also shows his lungs are improving and the infection in his chest has reduced. He has not had a fever, which is a side effect of an infection, in about a week. He looks and feels better. He has more energy and has been getting stronger every day. He has been walking 2 miles a day for the last 5 days. Today he walked down then up 5 floors of stairs.
Handsome will have surgery on Tuesday to remove the stint. Once he recovers from surgery they will be doing a swallow test to determine how much the esophagus is still leaking before they decide what to do next.
It is unknown when we can expect Handsome to get out of the hospital. Just taking it day by day. His sick time and vacation time has now run out at his work. We deeply appreciate the financial support friends, family, and total strangers have generously given to us to help us through this challenging time.
May 6, 2013

Day 51…Handsome/Mike had surgery today to remove the stint put in last Wednesday. It had slipped down into his stomach but the surgeon was able to retrieve it. They checked on the hole in the esophagus and it is healing, so that is good news. But while they were in his stomach retrieving the stint they also found that his feeding tube that was suppised to be going into the small intestine has migrated up to the stomach. Not good news. They will be doing surgery tomorrow to put it back into the intestine. He is getting better despite the set backs. It is just very frustrating. Trying to stay positive and focused on his recovery. Keep posting your well wishes and love for Handsome. The love and support really does help ♥
May 7, 2013

This afternoon Handsome/Mike had his feeding tube replaced. The stint that migrated to his stomach and that was removed yesterday damaged it. They are going to start all feed and meds through the tube starting tomorrow and if he has no further complications the docs are talking he may go home sometime next week. It is day 52 today and this is not the first time a discharge has been discussed so just taking it day by day. If he is discharged he will need to remain on the feeding tube for another month or more until the esophagus is totally healed. The hole IS healing but is now about 1/2 centimeters wide. No food or beverages by mouth until he is totally healed. Below is a photo from when he had a cardiogram done today.
May 8, 2013

Yesterday was a very stressful day. Won’t bore you all with the details but that is why I didn’t post. Handsome/Mike is stable. No fever and his new feeding tube is working well. When we did our walking yesterday we went outside to check out the eclipse but we didn’t have sunglasses and the sun was too bright. It is supposed to happen again today so we are going to try viewing it through several pairs of sunglasses. Last night the stitches that hold Handsome’s chest drain in place came apart and the drain fell out. So they will be doing surgery today to install a new one. Despite this minor issue he is still progressing and the docs are still saying he will hopefully be going home sometime next week. ♥
May 10, 2013

A love note from my awesome sweetie ♥♡♥♡♥♡
May 10, 2013

Handsome/Mike had surgery to get a new drainage tube put in today. The put it in a new spot through his back to suck out liquids that gather in a pocket under the hole opening in the esophagus. It has already sucked out a bit of liquid so it was a good thing to have it put in. This will help prevent infection from developing. The drain will stay in until he is totally healed. He is walking over 2 miles today and is feeling pretty good. Docs made an adjustment to his pain meds last night and it seems to be working well. Taking things one day at a time. Keeping moving forward and smiling.
May 10, 2013

Can’t believe we are on day 55 of Handsome/Mike being hospitalized. His new chest drain is working well. Docs are still saying they expect Handsome to go home sometime the end of next week. The past 2 days they have been teaching me and having me hook up his tube feeding and administering his meds. I am also being taught how to change his wounds dressings. That is the hardest thing for me because they are really gross to look at. But I will do anything for my sweetie ♥
He really enjoyed our walk this morning. We sat in the outside lobby enjoying the fresh air for a while then stood in the sun for a bit. Fresh air and sunshine is something most take for granted. Handsome really misses it and it made him really happy to be able to enjoy some today.
May 11, 2013

Great news to report! The docs have Handsome/Mike scheduled to be discharged on Friday!!! Providing no unexpected set backs. I have gotten down the administration of meds and antibiotics. I learned how to flush his chest tube and PICC line. And as gross as it is I have even gotten down the dressing changing for his wounds. The docs took the suction off his chest drain today and it now drains into a small bag so he is more mobile. We increased his feeding volume today so he will get 6 hours off the feeding tube each day so he can move freely and do things like go for walks or come watch derby practices. Docs are anticipating it to take anothe 6-8 weeks for his esophagus hole to heal. So happy to be reporting happy news. Thank you wonderful supportive peeps for helping us get through this challenging ordeal ♥
May 13, 2013

Today Handsome/Mike got a special surprise in the mail. The middle school students of North Yarmouth Academy in Maine sent him dozens of hand made get well cards, artwork, and a diorama. It put a huge smile on his face and really made his day!!! My amazing awesome childhood friend Shannon Gallagher is a teacher at the school. She has been sharing with the students Handsome’s Boerhaaves Syndrome story. She has told them about his living in Hawaii and his being a roller derby coach with Aloha City Rollers. Their cards depicted scenes of Hawaii, sunsets, surfboards, rollerskates and ACR colors. Some cards were addressed to Mike and some to Coach Handsome. Some of the cards had some very thoughtful sweet messages. All of them really brightened his day
🙂 What an awesome bunch of kids!!! Thank you SO VERY MUCH Shannon for sharing his story and having your school send such much love our way! You are a awesome friend and teacher. ♥♥♥♥
We are on day 58, hopefully just 3 more days to go! Momma Handsome booked her flight today. She arrives on Sunday to help me care for him for a few weeks.
May 14, 2013

PLEASE HELP US! My husband, best friend and roller derby coach Mike aka Handsome has been in the hospital 60 days today. He is lucky to be alive. His esophagus burst on 3/18/13 spilling his stomach contents into his chest cavity causing a deadly infection. This affliction is called Boerhaaves Syndrome and it is very rare. It happens to not even 300 people world wide a year and has a very high mortality rate of 30% due to the sever infection it causes. Handsome has had 7 major surgeries to install and remove chest tubes, feeding tubes, and stints as well as to attempt to sew closed the hole in the esophagus. He has also had a dozen minor surgeries. He still has a half centimeter hole in his esophagus but is stable enough to continue his recovery at home starting Friday 5/17. Doctors expect it to take 6-8 weeks to heal fully, hopefully. Then he will be enduring physical therapy for 2 months to repair the damage to his lungs and body caused by the illness. His lat and dorsal muscles were cut in his back during surgery causing limited mobility in his left arm. He has withered away to 120lbs and has lost muscle mass, muscle tone, strength and endurance. The earliest he can expect to return to work is late September. No working, skating, or lifting more than 10 lbs until then.
We applied for Temporary Disability Insurance but it was denied stating he had 16 paid sick days at the time the illness happened. No consideration was given for the TDI that he has been in the hospital for 2 months and used up all his sick time and vacation time already or that he will be out of work a total of 6 months when this is all over. We are now forced to beg for donations to help us get through this. It was going to be tough even with the TDI, since it only pays up to 58% of a persons salary, but now without it I don’t know what we are going to do to pay our basic living expenses like mortgage, medical insurance premium, electricity, gas, phone, food, car insurance. We also got denied from our medical insurance to cover his tube feeding supplies. He has to be fed through a tube in his stomach until his esophagus heals and it will be costing us $800 a month plus his medicine, wound care supplies, doctor visits and lab fees.
We are fortunate to have amazing people in our lives who have generously contributed already to the Handsome Recovery Fund online but now that TDI is denied it is just not yet enough to keep us afloat until he is able to return to work as a landscaper at Foster Botanic Garden. It is humiliating to have to beg for money to survive the next 4 months but we are grateful to have amazing people in our lives who are willing to help contribute. Every bit helps, it really does. Thank you so very very much if you can help!!
Please know we are frugal people and any money will be to help pay medical and living expenses until Handsome/Mike can return to work. We are hard working people and I am still working full time but my paycheck will only cover not even half of our expenses through his recovery. We are normally very giving people. We have been active in our community and have been active in the sport of roller derby for 6 years training and motivating nearly 1,000 skaters.
Despite all the setbacks we have encountered because of this illness we still try to keep smiles on our faces and keep moving forward. We appreciate if you can help us now in our time of need.
❤
May 16, 2013

Final photo with the wall of love before we take it down. Very excited for Handsome’s/Mike’s discharge tomorrow!! Thank you so very much to everyone who posted on Facebook, sent cards, took get well photos and Happy Surprise photos. The outpouring of love and support we have received have made such a huge difference in our life and helped us to get through this challenging time. We are so grateful to have such awesome people in our life! ♥
This journey is far from over but hopefully the most difficult time is behind us. It will be at least 2 months before his esophagus heals and then 2 more months physical therapy. Keeping on moving forward with smiles on our faces.
May 16, 2013

Day 61… Handsome/Mike is currently waiting to be discharged. He will be heading home today to continue his recovery. The hole in his esophagus is a half centimeter wide. It is estimated to take 6-8 more weeks to heal, hopefully. Then 2 more months of physical therapy to repair his lungs and body.
Thank you to everyone for all the love and support! You have helped tremendously to get through this challenging time.♥
May 17, 2013

It is SO GOOD to have Handsome/Mike back home. He said it feel good to him too. He is glad to be home. We did have a rough night. He is still on hospital time so he was up about every 2 hours to pee, get pain meds, or his tube feeding alarm alerting us he was out of food. Pretty tired today but think we have things better figured out and are hopeful for a more restful night tonight. We went for a walk and he really enjoyed the moist air and sunshine. He is pretty warn out and crashed out on the couch. We are excited for the arrival of Mamma Handsome who flys in from Florida tomorrow. We have not seen her in 10 years. She will be staying with us for almost a month to help care for Handsome/Mike. Taking things one day at a time. Today was a really great day!
May 18, 2013

Mama Handsome has arrived! She will be staying with us for almost a month to help out with Handsome/Mike. After picking her up from the airport we all went for an hour walk around our neighborhood and bumped into Blazin’ Kryptonite who joined us. Then Cuttin’ Candy was driving down the street and stopped for a hug. Then Smooth Bandit was driving down the street and stopped to say hi. Got some exercise and got to see some awesome peeps! Another great day on Handsome’s road to recovery ![]()
May 19, 2013

Today was another great day with Handsome’s/Mike’s recovery. He is feeling good. Today he walked 3 miles along the Ko’olina boardwalk which is the farthest he has walked at one time since his illness. The wounds on his body from a chest tube and another from infection draining are healing up well. We had a visit from a home health nurse and said we were doing a great job caring at home. Handsome is still struggling with gaining weight. He is currently 119lbs. His body uses a lot of calories to repair the damage. He gets about 2500 calories a day with the tube feed. Once his esophagus heals and he can eat he will be able to consume a lot more calories. ♥
May 20, 2013

Sorry for no updates the past 2 days. It has been a busy 2 days. Handsome was very worn out from the 3 mile walk on Monday. He slept most of Tuesday and i got a bunch of errands done. Wednesday he felt much better and energetic. We did walk a little over a mile on Wednesday but we did not want to over do it. We had friends Angelica and Mike Erwin come in all the way from Japan to visit for the weekend. They brought their beautiful baby Aurora. We are so lucky to have such amazing people in our life ♥
Glad Handsome seems to be getting stronger every day. He is still very week and has low endurance. He will be going to derby practice tonight to watch. He misses everyone very much. He also misses skating. He put on his skates yesterday and did some leg lifts with them.
🙂
It has been really great having Mama Handsome staying with us. She is a fast learner and got down all the med administration and wound changing stuff really fast. I hate leaving Handsome to go to work but it helps a lot knowing he is in good hands ♥
may 23, 2013
Handsome/Mike got some thoughtful surprises in the mail today to brighten his day. El Matador of TXRD sent him some cool Zeeb wear, water bottle, a tournament program, and 3 derby movies!!! The awesome peeps of South Jersey Derby and Love City Roller Derby sent him a helmet with get well messages on it from the skaters plus a donation to the Handsome recovery fund!!
We are both so deeply touched by the awesome derby love and support we have received by the derby community. Derby peeps are tough badasses on the outside but they are the most kind, thoughtful, loving and supportive group of people I have ever had the honor and pleasure to be associated with. Thank you sooo very much for putting a smile on our faces and helping us through this challenging time ♥
The past couple days Handsome has been very tired and his chest tube drain was not working. He went to see his doc today and thankfully the tube was just blocked. The doc cleared it and a bunch of fluid is now draining. We don’t want that stuff sitting inside his chest turning to an infection. He has a swallow test Thursday. Today he weighed in at 124lbs!! He is gaining slowly but at least he is gaining. He was 142lbs when his esophagus burst. Once he is off the feeding tube and is able to eat he should start gaining weight faster and will need to rebuild his muscle strength and endurance. He will go through rehab for that. Still moving forward one day at a time…with a smile ♥
May 28, 2013

Here is the latest update on Handsome/Mike…Day 81, the past week has been challenging. His body has built up a tolerance to the pain meds and they are no longer helping to relieve the pain. He has been in a lot of pain due to his internal healing wounds, his chest tube which goes between his ribs in his back, and his feeding tube. He was finally able to talk with his out patient doctor yesterday and he has increased his dosage on his Fentanyl patch. Hopefully that will work and give him some relief from the constant pain. He has had little energy to do much of anything and has been grumpy. But I can’t blame him, I would be too if I was in constant pain. He did make it to watch derby practice on Tuesday and that wiped him and he slept most of Wednesday.
Handsome/Mike went for a gastric swallow test last week and the results looked good but were not conclusive as to if his esophagus is totally healed. He is now scheduled for a barium swallow test next Thursday to get a better review of if there is leaking. If it shows no leaking he will be allowed to begin drinking liquids. He will still need to remain on the feeding tube for several weeks until he is able to eat solid foods and consume enough calories to sustain him.
Both Handsome/Mike and I would like to thank everyone who has posted encouraging messages and Happy Surprise photos on Facebook, sent cards, sent gifts, and made donations to the Handsome Recovery Fund. We are both deeply touched by the outpouring of love and support we have received. It has truly made a huge impact and difference in our lives. I don’t know if we could have made it though this without it. We still have a long road to recovery. Handsome/Mike will most likely not be physically able to return to work until October so we will be living on just my income and the donations we have received until then. The doctors say he will most likely be able to return to his former physical strength by the end of the year with lots of hard work and physical therapy. Thank you all again for helping us through this very scary and difficult time.
June 3, 2013
Had a great day with Handsome and Momma Handsome. Started at the Aloha Stadium Swap Meet then went on a half circle island tour. Stopped at the Pali Lookout, Sandy Beach and had an awesome burger for lunch at Teddy’s Bigger Burger. Wish Handsome could have eaten. We will be going back as soon as he is able.
June 9, 2013
Tomorrow is the big day… Handsome/Mike is going in for a barium swallow test. He had a gastric swallow test 2 weeks ago and it was inconclusive. It appeared to be healed but the radioactive juice wasn’t as strong as the barium will be so they couldn’t be sure it is 100% healed. The barium test should show if any leaking occurs. He goes in at 8am on Thursday and we are hoping they call by Thursday afternoon with the results. If they conclude the esophagus is totally healed he will be able to start drinking liquids tomorrow evening. Handsome/Mike has not eaten a meal in nearly 3 months. It was 3/20 when he last ate solid food. He is taking nourishment through tube feeding into his intestine but it is not the same as eating. He is HUNGRY!!! He wants to EAT!!! He is consumed with thoughts of food. It is torture for him every day to not be able to eat food with his mouth. He has had more energy lately and his weight has been 124-125lbs this week so far. I really hope we get happy news tomorrow!!
June 12, 2013

Soooo the doctor says the results from the swallow test wont be ready until tomorrow. Handsome/Mike hasn’t eaten in nearly 3 months since his esophagus burst. Is it too much to ask for results today so he can start drinking liquid and swallowing his spit? Also got in the mail our 2nd application for TDI. They denied it because they said it was a duplicate request and they already denied his 1st applications due to he had 16 sick days at the time of his illness and they only allow applicants to have less than 15 sick days to be considered for TDI. What a screwed up system. He will be out of work for 6 months and has used all his sick days AND vacation days. That is totally messed up. He will have to be out of work for 12 consecutive months before he can qualify for Social Security disability. He hopes to return to work by October which will be long before the 12 month mark. If it wasn’t for the kindness and generosity of friends, family and strangers we would not survive this. We have at least 3 more months of recovery to go living off of just my pay of $2000 a month. That barely coveres our mortgage and leaves little for gas, medical supplies, medical insurance, food, and utilities. We deeply appreciate those who have already contributed to the Handsome Recovery Fund.
June 13, 2013

Handsome/Mike can drink!!! After an anxious night Handsome just got word from his doctor he can start drinking liquids and swallowing his spit. It has been since March 18 since he has eaten, 88 days. Today we will go out and get him whatever he wants to drink. We will monitor him for a fever and his chest drainage bag for unusual liquid but the barium swallow study did not show leakage. If all goes well he should be able to start eating next week.
❤
June 14, 2013

Now that Handsome/Mike can drink liquids…
May 14, 2014
Another great day yesterday. Handsome/Mike is drinking juices, smoothies, and milkshakes. So far no adverse reactions. We went on a drive around the island on Saturday with stops along the North Shore. Getting a little stronger every day ![]()
June 16, 2013
Momma Handsome returned home this evening. It was so wonderful having her with us this past month. She was so helpful in providing care to Handsome/Mike and giving me assistance with laundry, dishes, and by cooking delicious meals every night. We both enjoyed her company and miss her already. Thank you so much to her wonderful hubby Jack who missed her very much. We greatly appreciate your sacrifice. Glad we got to enjoy some fun time too but don’t know how we would have made it through the past month without you Momma Handsome ![]()
June 17, 2013

At the doctors office…The chest drainage tube is out and Handsome/Mike was just cleared for solid food!!!!
June 18, 2013

Handsome/Mike’s stop after we left the doctor yesterday was the cafeteria where he had a cheese danish. Unfortunately his taste buds are still out of whack and it did not taste very good to him. Before his esophagus burst, 93 days prior, he had a big sweet tooth. But now sweet doesn’t taste so good to him. We stopped at the grocery store on the way home and I told him to get whatever he wanted. He got sushi, parmesan cheese chunk, chocolate milk and his favorite candy bar a Whatchamacallit. He took a bite of the candy bar on the drive home and boo, that tasted bad too. At home we ate the sushi and boo, that tasted bad to him too. The parmesan cheese was ok and he said the chocolate milk tasted good. Hope it doesn’t take long for his tastebuds to recover. He is doing good. His shoulder was sore where they took out the chest tube. He is still taking in feed through his feeding tube at night for another month until he can consume enough calories by mouth. He needs to gain 15lbs.
June 19, 2013

It has been challenging finding foods that taste good to Handsome/Mike. Not eating for 93 days did some impairment to his tastebuds. He said the bacon we had for breakfast did not taste good, which is something he had been really looking forward to. We had beef Wellington my sister made and sent from MA for dinner and it tasted amazing to me but his tastebuds disagreed. He did enjoy a Frosty from Wendy’s this afternoon. Glad he found something that tasted good!!
June 19, 2013

Handsome/Mike update: his recovery is going well with good days and bad days. He was just been cleared to skate for exercise with NO contact. He is excited for that. He is disappointed at how weak his body is. For a thin guy he was quite strong before this happened and always had physical jobs. He will now be working on rebuilding his body. He may be getting his feeding tube removed on Friday. He has still been taking in feed through it overnight. Doc says his body is still in the healing mode and requires a lot of calories so he needs to consume several small meals all day long. Handsome is also working on his pain management and is still on oxycodone and a Fentyal patch. His rib area where the surgery happened and the chest tubes were still cause him a good amount of pain and so does around the tube feeder site. The next 2 months he will be continuing to heal and working on rebuilding his muscle tone/ strength. We are hopeful he can return to work in late September but Docs say it will be sometime next year before he makes a full recovery.
July 14, 2013

Handsome/Mike is back in the hospital. When I got home from derby practice last night he was burning up with a 102.8 fever. I was able to reach one of his doctors and he had me bring Handsome in this morning for tests. Xrays show puss in his chest and blood tests show infection. They did a ct scan and we are waiting for results. They have restricted him from food and admitted him into the hospital. Handsome/Mike is otherwise feeling ok, just hungry and disappointed.
July 26, 2013

Tests show Handsome/Mike’s esophagus is leaking. It is leaking into his chest cavity causing an infection. Docs are not sure if it has been leaking the past month all along or if it wasn’t fully healed when he was cleared for solid foods orally and something reopened the hole. He is going to be getting a chest tube to drain the infection. He is also on antibiotics. He is being fed through his stomach tube but he is SO HUNGRY. Handsome will be in the hospital a while, he is so disappointed.
July 27, 2013

Handsome/Mike just had a PIC line put in again. His iv was very painful. His doc came by and said he anticipates Handsome will be in hospital for about week while they treat the infection. He will go home with a chest tube and on feeding tube. He probably won’t eat by mouth for a month. He said this will add a couple extra months to his recovery. They will be doing a swallow test later this week to try and determine how big the hole is in the esophagus. His spirits are up and down.
July 28, 2013

Handsome/Mike had a good day. He is having some trouble with his feeding tube so he will be having surgery tomorrow to replace it. His infection is getting better. No fever and his blood tests looked good today. Spent this rainy day snuggling and got in some walking. ♥
July 29, 2013

Handsome/Mike is doing better. Looks like he will be in the hospital through mid-next week. The tests on what is infecting him has come back and they are treating him with antibiotics. We have done over 2 miles in walking already today. Trying to stay positive. He WILL heal up, just going to take longer then expected.
August 1, 2013

Thank you everyone for the birthday wishes! I had an uneventful day at the hospital with my sweetie. My birthday wish is that his esophagus heals and he is healthy soon. ![]()
August 3, 2013

The Doc came in and had a long talk with Handsome/Mike today. He feels what happened is the infection he had before is exactly what he has now. He feels it did not get fully eradicated. The hole was not fully healed and the infection caused it to open just a tiny bit. The Doc feels it WILL heal, it is just going to take time. Handsome will be in the hospital another week. Once he is released he will not be eating by mouth for 2 months. He will be fed only through feeding tube. They are injecting his drainage tube with a declotting solution to help break up the infection. He will be staying on antibiotics 6-8 weeks. The esophagus is a very unusual muscle and it can take over a year to heal. The hole that is really small now so hopefully once they get the infection under control he will heal in a few months.
August 7, 2013

Overnight Handsome/Mike’s stomach tube sprung a leak. He is having surgery this afternoon to replace the tube. He has been in really great spirits the past 2 days. Still hopeful he will be getting out of the hospital next week.
❤
August 9, 2013

Handsome/Mike is having a good day. They are transitioning his pain meds to what he can go home with starting today. The nurse trained me in how to administer his iv antibiotics today. Handsome/Mike has been staying active during this hospital stay. He walks/skips/jogs 2-3 miles a day and has been doing push ups. We are hopeful he will be going home this week. After almost 3 weeks he is anxious to go home. Once home he will not be eating by mouth for at least 2 months. His nutrition is in a much better place this time and docs feel that will be very helpful in his body being able to heal. ![]()
August 14, 2013

Been waiting all day but Handsome/Mike IS being discharged today. Hopefully within the hour. He has a long road to recovery but it is much nicer recovering at home.
❤
August 15, 2013

Back at the hospital. Handsome/Mike woke up with a fever and didn’t feel good. They are taking x-rays, ct scan, and running tests. I will post what they find out.
August 27, 2013

Handsome/Mike was admitted back into the hospital yesterday. The ct scan showed a new fluid pocket in his right chest cavity. Today he had surgery to install a chest drainage tube to drain the fluid. They will be running tests to see if it is an infection or just a build up of body fluid. He now has chest drains on the right and left sides as well as a feeding tube into his intestine for nutrients.
We are approaching the 6 month mark since Handsome’s esophagus burst. He has endured nearly 2 dozen surgeries and procedures and hasn’t eaten by mouth for 5 of the 6 months. This had been a very challenging emotional, physical, and financial time for us. It is hard to stay positive when the end result is unknown.
August 28, 2013

Today Handsome/Mike had one of his chest drains removed, or should I say yanked out. He said it was excruciating when it was pulled out but he now feels 50% less pain. We walked almost 2 miles around the hospital wing. He is in good spirits. Tests showed he does have a new infection and is recieving new antibiotics. He will hopefully be out of the hospital sometime next week.
August 30, 2013

Handsome/Mike is oh so ready to get out of the hospital. Just got word today he can come home tomorrow! He will be going home on iv antibiotics, tube feeding and a chest drain. Back to where he was about a month ago. Back to waiting for the fistula in his esophagus to heal. No new infections please so he can heal! Still has many months of recovery ahead of him. ![]()
September 3, 2013

I am baffled how many hours it took for the hospital to discharge Handsome/Mike but he is finally home. He has spent most of his time snoozing on the couch. Hopefully his chest infections clear fast so his esophagus can heal
❤
September 4, 2013

Handsome/Mike has been taking it easy since getting out of the hospital on Wednesday. Today we went out for a nice walk along the Pearl Harbor bike path. He has been feeling ok but has had a low grade fever. Hope he is not getting a new infection. Keeping a close eye on his temperature and keeping in touch with the Doctors. I want to thank all the wonderful people in our lives who have been posting positive and encouraging messages, sending cards, and donating to the Handsome recovery fund. We are enduring this challenge because of all the love and support we have been receiving and it has made a huge difference in our lives
❤
September 8, 2013

Handsome/Mike had the chest tube removed today. It is the primary source of pain so hopefully this will bring him some relief. The fistula in his esophagus is still open and hopefully healing. Still on iv antibiotics. He has a long road to recovery but this is a positive step.
September 17, 2013

Today makes 6 months since Handsome/Mike’s esophagus burst on 3/18/13. We are back at the hospital this morning. He woke up with a temperature of 102.5 F. We were just here yesterday and they removed his chest drain. The doc is going to run a bunch of tests. I will keep everyone posted.
UPDATE: We are back from a long day at the hospital. They did xrays and ct scan. Nothing is standing out as the source of causing Handsome/Mike’s temperature to spike to 102.5 this morning. They took blood and are running tests. Preliminary tests show slightly elevated white blood cells but nothing too crazy. They are doing additional tests that will take a few days to grow out in the lab. Handsome/Mike was able to come home but we have to keep a close eye on him and if his temp goes back up he will have to go back into the hospital. When they did the ct scan it was a swallow test and it showed the hole is still leaking from the esophagus into the chest cavity. The team of doctors he is under the care of are considering going back in to repair the hole. It is a very invasive surgery and they were trying to avoid having to do it but given it hasn’t healed in 6 months they are reconsidering it.
September 18, 2013

We are back from a long day at the hospital. They did xrays and ct scan. Nothing is standing out as the source of causing Handsome/Mike’s temperature to spike to 102.5 this morning. They took blood and are running tests. Preliminary tests show slightly elevated white blood cells but nothing too crazy. They are doing additional tests that will take a few days to grow out in the lab. Handsome/Mike was able to come home but we have to keep a close eye on him and if his temp goes back up he will have to go back into the hospital. When they did the ct scan it was a swallow test and it showed the hole is still leaking from the esophagus into the chest cavity. The team of doctors he is under the care of are considering going back in to repair the hole. It is a very invasive surgery and they were trying to avoid having to do it but given it hasn’t healed in 6 months they are reconsidering it.
September 19, 2013

Having an adventure. Exploring Lyon Arboritum
September 28, 2013

Handsome/Mike is getting stronger every day. This past weekend he put on skates for the first time since June and skated at our Family Fun Skate. It made me so happy to see him skating and having fun that my face hurt at the end of the night from smiling so much. It was a lot of activity for him and he was very tired on Sunday. He is working on rebuilding his strength and endurance. It is going to take quite a while to get him back to fitness. He has a swallow test in 2 weeks to see if the esophagus is healed. He has otherwise been doing good. He is cutting down on the pain meds, has no chest tubes, and is not showing any signs of infection. We will find out on 10/29 if he can start swallowing liquids until then no food or liquids by mouth, only by feeding tube.
❤
October 10, 2013

This morning Handsome/Mike had a swallow test to see if his esophagus is still leaking. We just got a call from one of his doctors and he said his results show no leaking and significant improvement over all prior tests!!! The lung looked improved as well. We are sooooo happy for this news! We will be meeting with the doctors next Tuesday to go over a new game plan for recovery. After the test we went for a nice 2 hour walk along the boardwalk at Ko’olina. Today is a really great day!!
October 22, 2013

Look who felt good enough to coach at practice today!
October 25, 2013
Handsome/Mike was cleared to eat food and drink liquids today! His first meal was a Farmers breakfast and chocolate milkshake at Anna Millers. He wasn’t able to eat much but he said it tasted good. Handsome/Mike’s esophagus burst on 3/18/13. It has been a long challenging recovery. It is a happy day today with this positive improvement! Thank you everyone for your love and support throughout this ![]()
November 12, 2013

So happy to have my sweetie healthy enough to ref the game today!
December 7, 2013

Today Handsome/Mike got his feeding tube out! He is feeling good, has some energy, and is SO HAPPY to have all the tubes finally out!! Now the focus is on physical therapy to help with his damaged muscles from the surgery. After 9 months it is so great to finally have him on the road to full recovery.
December 10, 2013

Flyering for roller derby Try Ons with my sweetie!
December 12, 2013

Handsome was feeling good enough to skate in the Kapolei CIty Lights parade with our roller derby league.
December 13, 2013

Christmas eve street skate with a few friends.
December 24, 2013
Handsome held a Winter roller derby boot camp in January 2013, his first boot camp since his illness.

Had a nice walk at Ko’olina with my sweetie
❤
March 11, 2014

It has been a year since Handsome’s esophagus burst on 3/18/13. He is currently struggling with his latest setbacks in his recovery: gastrointestinal problems, pain management issues, and insomnia. He was expected to return to work at least part time the beginning of March but because of these latest issues he is still unable to return. He has been working hard at his physical therapy to repair his body. His physical therapist doctor has told Handsome/Mike it is going to take at least a year or more of daily physical therapy exercises for him to regain his muscle strength and conditioning that he had prior to his illness. He skates 3 days a week, does daily strength exercises, and goes for walks. In December he could not do 1 push up or pull ups. The other day I watched him do 6 sets of 10 push-ups and 8 pull ups. I am so inspired by him. Although his body is starting to get stronger he still has a very long way to go with his recovery. He is in quite a bit of constant pain. He has lots of nerves which got damaged during his over 2 dozen surgeries and procedures. He is working with his pain management doctor to try to find the right combination of meds to get it to a tolerable pain. His endurance is very low and when he does physical activity it wipes him out. He has been feeling nauseous nearly every day since the tube feeder came out in December and has thrown up several of those days. This freaks him out because his initial illness started when he threw up and his esophagus malfunction causing it to burst. Food doesn’t taste like it did before and many foods don’t settle well with him. It is a sick irony that he wasn’t able to eat food for 9 months and once he is able to not much tastes good. We started juicing in December and it has been helpful in getting him healthy nutrition. It took 2 months to get an appointment with a GI specialist and they scoped him a couple weeks ago to see if anything was obviously wrong in his esophagus or stomach. They checked out the area where his esophagus burst and it has fully healed and looks good. They did find an ulcer where the tube feeder was installed and they have him on medication and a modified diet to help it heal. They did not find anything else and determined it is his narcotic medication causing his digestive issues. He has been on narcotics for a year and one of the side effects of long term use is it slows the digestive system down. He is now on a modified diet where he has mostly well-cooked protein and he needs to eat small portions and chew them up really well. He needs to avoid raw fruits and veggies because it takes too much to break them down in the stomach. Our juicing has been helpful getting him fruits and veggies since juice is absorbed immediately when consumed.
This past year has been challenging emotionally, physically, and financially. We could have never made it through without the love, emotional support, and financial support of family, friends, the roller derby community, and total strangers. This illness was unexpected as Handsome has been in perfect health his entire life until this happened and was exceptionally physically fit and strong. His health and the outpouring of support is what doctors said was probably gave him the strength to live when 80% of people this happens to dies.
The Handsome recovery fund was set up by our roller derby league when the illness first hit to help us with our living and medical expenses. We could have never made it financially without that fund. We have been able to focus on Handsome’s recovery because of the donations we have received. Doctors never expected Mike to be debilitated for so long but he has encountered setback after setback. The Handsome recovery fund was depleted back in December and we are now struggling to get by. Mike is hoping to be able to return to work 3 days a week for 4 hours a day sometime in April but it is unknown how long it will be before he will be able to return to full time work. He has a very physical strenuous job; he is a landscaper at a botanical garden.
You can only imagine the mental and physical impact of this prolonged illness and numerous setbacks have had on Handsome/Mike.
THANK YOU to everyone who has been supporting us emotionally and financially. It has truly made a huge difference in our lives.
March 18, 2014

Handsome broke his clavical at derby practice tonight.
😦
June 11, 2014

Handsome is back on skates at the Family Fun Sk8.
July 26, 2014

At the hospital confirming if Mike has broken his collar bone yet again. Pretty sure it is. Another roller derby injury.
August 17, 2015

Back at the hospital. Mike slipped on the wet floor and fell hard on his elbow of his slinged broken collar bone yesterday when our house flooded. Woke up with it swollen big and the bone doesnt look right. Getting xrays of elbow and collar bone.
September 3, 2015

The rebreak of the collar bone break on Mike is starting to turn pretty colors. The bruise on the bicep is nasty!!!
September 5, 2015
On 10/27/2014 Mike began a tattoo apprenticeship and graduated in 9 months due to his exceptional art skills and ability to adapt. He was working a full time job as a landscaper during the day and then worked as an apprentice after work and all day on the weekends. At this time he was on heavy duty prescribed pain meds of oxycontin and a Fentanyl patch. These meds made him feel like a zombie and lost the ability to feel emotions. He asked his pain management doctor to take him off all pain meds because he didn’t like what it was doing to him mentally. He had to take a month off of his jobs to detox. After a month he had tremors in his hands and had to take a break from tattooing for a few months until the tremors stopped. In September 2018 Mike became the owner and head Tattoo artist of Neck Deep Tattoo in Kaneohe, Hawaii. He makes amazing art that helps people feel more confident and better about the skin they are in. He also mentors apprentices continuing to use his coaching skills to train the next generation of tattoo artists. Check out examples of Mikes tattoos at here! He has his good days and bad days still. His esophagus is less than the diameter of a pencil so he has trouble swallowing food. He struggles to keep his weight above 115lbs but does not eat a healthy diet which is contributing to his health struggles.











































































































































































































